Получить травму гортань при чихании можно, а вот разорвать пищевод практически нет, уверен врач-оториноларинголог, заведующий 2-м хирургическим отделением стационара ММЦ имени Н. И. Пирогова ФМБА России Александр Еремяшев.
«В принципе, при чихании давление поднимается не настолько сильно, чтобы повредить орган. Скорее, можно было бы повредить гортань как часть дыхательной системы. Что касается пищевода, никогда не встречал таких случаев. Наш мышечный каркас прочно удерживает все органы», — сказал он в интервью «АиФ–Мурманск».
Вместе с тем, комментируя нашумевший случай с разрывом глотки от чихания, который якобы произошёл в Карелии, доктор отметил, что необходимо знать всю клиническую картину.
«Мы не знаем, есть ли сопутствующие заболевания у человека: были ли химические ожоги пищевода, травмы или операции», — подчеркнул он.
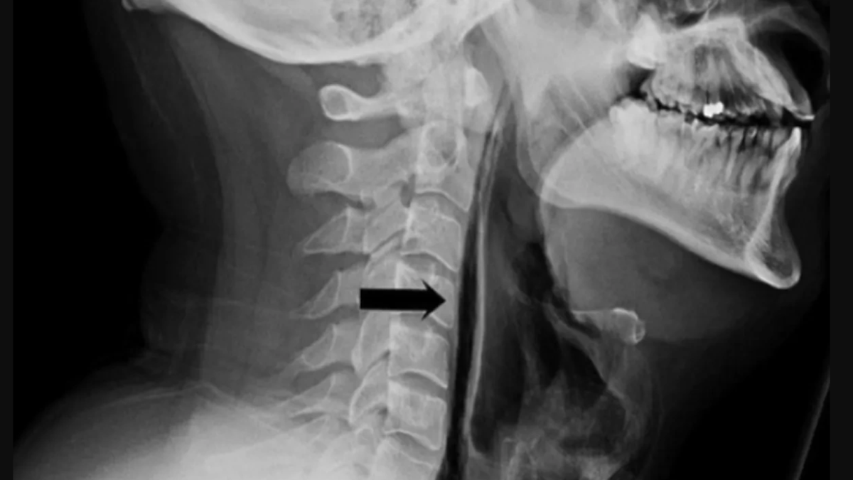
Ранее в соцсетях появилась информация о том, что 34-летний пациент ЦРБ города Суоярви получил разрыв пищевода, пытаясь сдержать чихание. Позднее выяснилось, что случай произошёл в Великобритании в 2018 году. Новость и снимки были взяты из «Британского медицинского журнала». Больница Карелии удалила пост с ними после того, как информация разошлась по федеральным порталам.
Сейчас также читают: В Апатитах яростный северянин разбил дверь и окно в двух магазинах, но пробираться внутрь не стал
Фото Британский медицинский журнал
Соответствует редакционной политике
